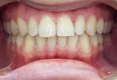
Así es como se denomina a la relación contacto o cierre entre ambas arcadas dentales. La oclusión es un aspecto fundamental en el funcionamiento de la boca, y puede determinar en gran medida las condiciones de salud de dientes, ligamento periodontal y articulaciones mandibulares.
Puede haber muchos tipos de oclusión, determinados por las características propias de cada persona, como por ejemplo posición de los dientes, tamaño de los huesos maxilares, que harán que las dos arcadas se relacionen de maneras distintas.

En la dentición humana está claramente establecido cual es la forma más saludable o fisiológica para este contacto dentario. Este modelo de oclusión es el que se denomina "oclusión mutuamente protegida", también conocida como oclusión orgánica, entre otras denominaciones.
Vamos a enumerar algunos requisitos que requiere la dentición para que pueda funcionar de manera correcta y saludable, así como cada diente en particular y los tejidos que lo rodean :
Cuando la boca permanece cerrada todos los dientes deben estar en contacto, aunque de manera más ligera incisivos. De esta manera protegemos a estos últimos dientes de recibir fuerzas excesivas de la musculatura, para la que no están preparados; no es éste el caso de molares y premolares que ejercen la función de triturar y soportan bien fuerzas relativamente altas.
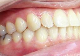
Cuando la mandibula realiza un movimiento lateral hacia la izquierda o hacia la derecha desde una posición de cierre y con los dientes previamente en contacto, en este movimiento lateral sólo deden contactar los caninos o "colmillos" de ese lado,Esto es lo que se denomina "guía canina" Igualmente al mover la mandibula hacia adelante, los únicos dientes que deben contactar son los cuatro incisivos superiores e inferiores, reproduciendo la llamada" guia incisiva"
Estos son mecanismos de protección son fundamentalmente para molares y premolares que no están preparados para recibir fuerzas laterales y también para las articulaciones mandibulares y los músculos de la masticación.
Estas dos premisas básicas son muy necesarias para la salud del sistema masticatorio de la dentición natural y reglas de oro a seguir para cualquier tratamiento dental.
La ausencia de algunas de estás características puede provocar desgastes dentales en los bordes y cúspides, e incluso a nivel de la encía.Como consecuencia puede aparecer sensibilidad al frío. También algunos dientes podrían adquirir movilidad.
Las articulaciones mandibulares pueden verse afectadas por una mala oclusión, haciendo que en la apertura y/o el cierre se produzcan movimientos no progresivos, como saltos o bloqueos; así como ruidos o chasquidos.