Existen muchos factores que influyen a la hora de como percibimos unos dientes o una sonrisa. Infinidad de pequeños detalles que marcan la diferencia y pueden hacer que una boca se vea de una u otra manera. Esto no es una cuestión de simple azar, cada uno de los parámetros que rigen una bella sonrisa o unos dientes perfectos está establecido de una forma bastante clara.

A pesar de que lo estético es un concepto bastante subjetivo, casi todas las personas podríamos coincidir a cerca de si unos dientes nos gustan o no.
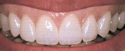
Aspectos muy importantes son la alineación, nivelación y simetría. A ambos lados de la línea media facial, deben respetarse el paralelismo, las proporciones, la forma y el tamaño de unos dientes a otros, así como también los ángulos.
El color es un aspecto fundamental, y debe ser homogéneo, y similar de unos dientes a otros. Pueden existir pequeños matices, incluso en un mismo diente dependiendo de la distribución del esmalte y la dentina, así como de la edad pueden verse zonas donde el color es más intenso o incluso cierta translucidez como por ejemplo en el borde.

Para que unos dientes o una sonrisa se perciban como estéticos, es muy necesario que estén perfectamente integrados con los tejidos blandos que los rodean. De esta manera, el color de la encía es importante, su aspecto, y su adaptación al espacio interdental. La encía que está entre los dientes se denomina papila, y debe llenar completamente el espacio existente entre los dientes, adoptando una forma más o menos triangular.
En cuanto a la sonrisa, lo ideal suele ser que se exponga más o menos todo el incisivo central, incluso se deje ver no más de dos milímetros de encía. También es importante que el labio inferior siga el mismo contorno que los bordes de los dientes.