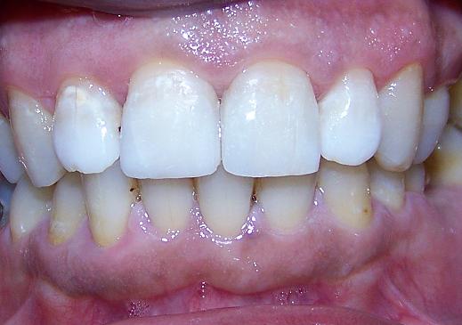
Dentro de los motivos que pueden llevar a tener que restaurar un diente, sin duda el principal es la caries.Otras indicaciones pueden ser fracturas que afecten a la estructura dental, o también para corregir alteraciones de color, posición o forma.
Prácticamente todos los procedimientos restauradores siguen unos pasos comunes.Resumidamente, estos son: anestesia de la zona a tratar, eliminación del tejido cariado bajo abundante irrigación,desinfección de la cavidad, toma de color, aislamiento del diente con dique de goma, preparación de la zona mediante la aplicación de agentes adhesivos, aplicación de pequeños incrementos de material restaurador, ajuste y pulido.
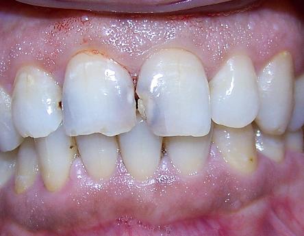
Los materiales de restauración, composites

Este
es el nombre genérico que reciben la gran mayoría de los materiales restauradores
estéticos en odontología. Hoy en día han evolucionado mucho, y existen
composites específicos para las distintas zonas de la boca.
Básicamente estos materiales son una combinación de resinas acrílicas
junto con rellenos inorgánicos en diferente porcentaje. Cuanta mayor cantidad
de relleno inorgánico posea el material, lo hace más resistente a las
fuerzas masticatorias, por ese motivo estos son los composites de elección
en el sector posterior de la boca, donde estas fuerzas pueden llegar hasta
los 4 o 5 kilos.
Contrariamente la mejor cualidad que debe tener un composite que va a
usarse en incisivos y caninos especialmente es la estética, un pulido
perfecto, y una buena reflexión de la luz. Por este motivo la cantidad
en relleno inorgánico es menor, frente al contenido de resina acrílica.
Actualmente ya hay composites microhíbridos y de micropartícula que tienen
un excelente pulido y estética, junto con una gran resistencia.
Todos estos materiales se adhieren mediante un sistema que crea retenciones microscópicas en la superficie dental, posteriormente se interpone una resina líquida o adhesivo que penetra en dichas retenciones y finalmente se agregan sucesivos incrementos de composite. Todos estos materiales tienen unos activadores químicos que los hacen endurecer mediante una lámpara de luz halógena(azul).

Los composites han revolucionado el mundo de la odontología hace ya varios años, fundamentalmente por la estética que proporcionan, el tiempo de trabajo, su adhesión al diente.
Como contrapartida son materiales que requieren una manipulación escrupulosa, en un campo totalmente aislado y libre de cualquier contaminación como puede ser agua, saliva o sangre; es por ello que normalmente suele ser muy necesario el uso de dique de goma. Éste es un recorte cuadrado de látex que permite aislar del resto de la boca el o los dientes que se van a tratar.
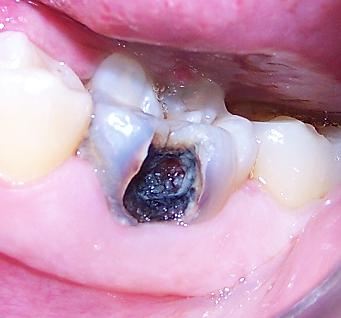
La amalgama, es un material de color oscuro, producto de la mezcla de mercurio y plata entre otras sustancias. que era usado antiguamente, y que incluso hoy en día algunos profesionales siguen utilizando. Hoy en día se ha visto ampliamente superado por los composites en práticamente todos los aspectos. Es un muy buen material pero actualmente existen muchos otros que lo superan. En cualquier caso mucho más importante que uno u otro material, son las condiciones, la manera y las indicaciones en las que se utilizan.