Se denomina así al acto de rechinar o apretar los dientes de una arcada contra la otra. Se puede producir durante el día, la noche o en ambos momentos. Generalmente por el día lo que se suele hacer es el simple apretamiento de los dientes. Por la noche lo más frecuente es realizar movimientos horizontales laterales de un lado a otro sin perder el contacto entre los dientes.
El origen de este trastorno suele tener dos componentes. El más importante es el stress nervioso o tensión emocional del paciente. El segundo aspecto es la presencia de ciertas interferencias en el contacto entre los dientes y su relación con las articulaciones mandibulares.
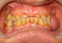
Todo esto hace que se aprieten unos dientes contra otros, pudiendo someterlos durante varias horas a fuerzas de gran intensidad. Como consecuencia pueden aparecer distintos signos y/o síntomas.
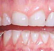
-Desgaste de la estructura dental, especialmente los bordes de incisivos y caninos, y las cúspides de molares y premolares.

-Lesiones en forma de cuña a nivel de la encía de algunos dientes.

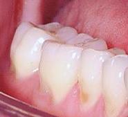
-Movilidad dental, originada por las fuerzas excesivas.
-Recesión gingival, o el "alejamiento de la encía del diente".
-Sensibilidad dental con el frío o el dulce.
-Diversos trastornos en las articulaciones mandibulares, como dificultad al abrir la boca, ruidos o chasquidos en la apertura o el cierre.
Pueden aparece una serie de síntomas, especialmente por las mañanas,como por ejemplo:
-Sensación de "notar los dientes" al levantarse.
-Dolor en la musculatura que interviene en la masticación.
-Dolor en las articulaciones mandibulares.
-Dolores de cabeza, especialmente en la región temporal, a ambos lados de la cabeza.

Este es un gran trastorno psicosomático de nuestros días, si no es tratado precozmente, con el tiempo puede llegar a lesionar gravemente las estructuras del sistema masticatorio.