Alteraciones de la posición dental
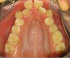
Con frecuencia ocurre que algunos dientes no están correctamente colocados. Esto puede producirse tempranamente por problemas de espacio en las arcadas dentales, es decir, el espacio disponible en las mismas es menor que el que necesitan los dientes. Como consecuencia se produce lo que se conoce como apiñamiento. También la presencia de hábitos en la edad infantil puede tener efectos similares.
Debido a estos problemas de posición dental, el funcionamiento de los dientes y articulaciones mandibulares puede verse afectado. También puede producirse un aspecto poco estético de la dentición.

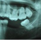
Otra causa que puede afectar a la posición dental es la ausencia de algún diente, generalmente por su extracción. Esto hace que los dientes que están próximos a la ausencia tiendan a ocupar ese espacio, y de la misma manera el diente antagonista, es decir el que se opone al masticar, tienda a erupcionar o a "crecer" y de la misma manera a ocupar parte del espacio del diente que falta.


Con el tiempo, y especialmente si entre los dientes y las articulaciones mandibulares no existe una buena armonía, es decir, si el máximo cierre dental no coincide con las articulaciones en su correcta posición, esto puede hacer que se produzcan algunos movimientos dentales, especialmente en incisivos, tanto inferiores como superiores.
Si las bases esqueléticas sobre las que se sitúan los dientes, no están correctamente relacionadas entre sí, lógicamente esto también afectará a la posición de los dientes y a la relación de las dos arcadas dentales.
Ausencia de dientes
La falta de uno, o varios dientes o incluso la totalidad de los mismos, va a traer consigo una disminución parcial o total de los aspectos estéticos y funcionales de la dentición, así como un desequilibrio progresivo en la cavidad bucal.
Los dientes restantes pueden sufrir migraciones como ya comentamos, y estar sujetos a un mayor desgaste y movilidad como consecuencia de su sobrecarga funcional. Las articulaciones temporomandibulares también pueden verse afectadas como consecuencia de la pérdida de dientes.
Según el número de dientes faltantes aumenta, la función masticatoria va perdiendo eficiencia y calidad, haciendo que los alimentos no puedan ser cortados y triturados como es debido.
En cuanto al aspecto estético de los dientes, hoy en día no es socialmente aceptable la ausencia de un incisivo o canino, especialmente por su ubicación en la parte más visible de la boca.
Cuando la ausencia dental es total en la parte superior de la boca, esto va a hacer que el labio superior se hunda completamente hacia adentro, dando una apariencia de vejez extrema, de la misma manera que se acorta considerablemente la altura de la parte inferior de la cara.