Se denomina así al procedimiento por el cual se identifica una enfermedad, entidad nosológica, síndrome o cualquier condición de salud o enfermedad.
Este es el punto de partida, y la herramienta principal que nos permite identificar los problemas existentes y proponer a nuestros pacientes las distintas opciones para solucionarlos.Por supuesto una información que guía y condiciona este proceso es el motivo de consulta del paciente, es decir la causa que lo ha traído hasta aquí, y que será prioritario solucionar.

Para realizar un buen diagnóstico es necesario disponer en primera medida del tiempo adecuado para ello. Sólo de esta manera es posible analizar cada detalle y obtener también una visión global del caso.
Todos los datos que suministra el paciente como por ejemplo alergias, medicación, etc...serán anotados en la historia clínica y estarán disponibles para cuando sean necesarios.
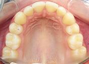
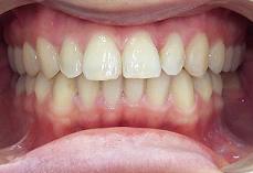
La inspección visual es uno de los pasos básicos en el diagnóstico. Se analizan primeramente parámetros extrabucales como son los tejidos blandos de la cara y articulaciones mandibulares. Seguidamente en el interior de la cavidad bucal, es necesario valorar el aspecto de los tejidos blandos, el estado de las encías y examinar diente por diente. Se prestará especial atención a la relación de contacto entre las dos arcadas dentales.

Dependiendo de cada paciente el diagnóstico necesitará una serie de pruebas y estudios complementarios, como pueden ser radiografías, fotos, o modelos de estudio montados en articulador ( este es un dispositivo que simula los movimientos mandibulares).

En algunos pacientes pueden ser necesarias valoraciones concretas dirigidas a diagnosticar alguna patología específica.
